06-6937-8008
LINE予約
WEB予約
MENU
メニューを開閉する
医院情報
医院紹介
院内紹介
医師紹介
初めての方へ
診療時間・アクセス
お問い合わせ
お知らせ
ブログ
プライバシーポリシー
診療案内
インプラント
精密治療
矯正歯科
審美歯科・
ホワイトニング
保険診療
予防歯科
症例紹介
ホーム
医院について
医院紹介
院内紹介
医師紹介
初めての方へ
治療内容
インプラント
精密治療
矯正歯科
審美歯科・ホワイトニング
保険診療
予防歯科
症例紹介
Case Studies
症例紹介
HOME
症例紹介
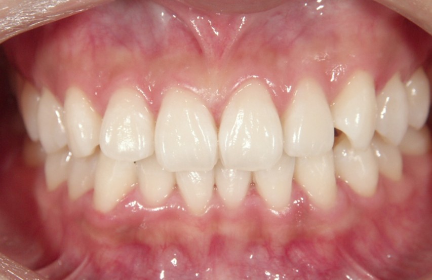
審美治療
ホワイトニング症例1
2025.04.15
審美治療
ホワイトニング症例1
Before
After
通院時の年齢
28歳
性別
女性
治療内容
治療期間・治療回数
3回(1ヶ月)
治療費用
55,000円
リスク・副作用
一時的な知覚過敏症状で出ることがあります。
備考
ALL