Case Studies
症例紹介
セラミック治療4

Before

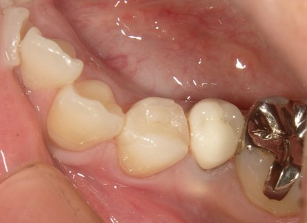
After
| 通院時の年齢 | 33歳 |
|---|---|
| 性別 | 女性 |
| 治療内容 | 第一大臼歯セラミックインレー+第二大臼歯セラミッククラウン |
| 治療期間・治療回数 | 5回(2ヶ月) |
| 治療費用 | 17,6000円 |
| リスク・副作用 | 硬いものを咬むと割れる可能性があります。 |
| 備考 |
Case Studies
症例紹介

Before

After
| 通院時の年齢 | 33歳 |
|---|---|
| 性別 | 女性 |
| 治療内容 | 第一大臼歯セラミックインレー+第二大臼歯セラミッククラウン |
| 治療期間・治療回数 | 5回(2ヶ月) |
| 治療費用 | 17,6000円 |
| リスク・副作用 | 硬いものを咬むと割れる可能性があります。 |
| 備考 |