Case Studies
症例紹介
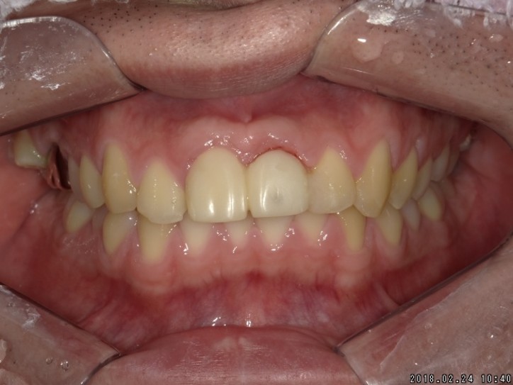
インプラント治療1

Before

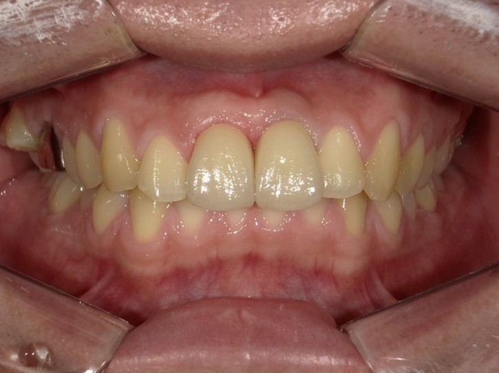
After
| 通院時の年齢 | 26歳 |
|---|---|
| 性別 | 男性 |
| 治療内容 | 右上中切歯セラミッククラウン+左上中切歯インプラントセラミッククラウン |
| 治療期間・治療回数 | 15回(6ヶ月) |
| 治療費用 | 594,000円 |
| リスク・副作用 | |
| 備考 |
レントゲン画像

Case Studies
症例紹介

Before

After
| 通院時の年齢 | 26歳 |
|---|---|
| 性別 | 男性 |
| 治療内容 | 右上中切歯セラミッククラウン+左上中切歯インプラントセラミッククラウン |
| 治療期間・治療回数 | 15回(6ヶ月) |
| 治療費用 | 594,000円 |
| リスク・副作用 | |
| 備考 |
レントゲン画像
