Case Studies
症例紹介
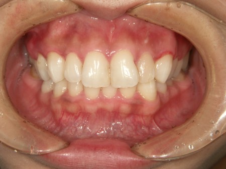
セラミック治療3

Before

After
| 通院時の年齢 | 29歳 |
|---|---|
| 性別 | 女性 |
| 治療内容 | セラミッククラウン |
| 治療期間・治療回数 | 4回(2ヶ月) |
| 治療費用 | 15,4000円 |
| リスク・副作用 | 硬いものを咬むと割れる可能性があります。 |
| 備考 |
Case Studies
症例紹介

Before

After
| 通院時の年齢 | 29歳 |
|---|---|
| 性別 | 女性 |
| 治療内容 | セラミッククラウン |
| 治療期間・治療回数 | 4回(2ヶ月) |
| 治療費用 | 15,4000円 |
| リスク・副作用 | 硬いものを咬むと割れる可能性があります。 |
| 備考 |